三波知识百科

展开菜单

相同的3nm工艺:天玑9500要比第五代骁龙8至尊版便宜50%以上!

相同的3nm工艺:天玑9500要比第五代骁龙8至尊版便宜50%以上!
快科技10月12日消息,据最新透露,天玑9500的预估价格在180至200美元之间,而第五代骁龙8至尊版的单价达280美元,这意味着天玑9500比骁龙8至尊版便宜55%左右。当然,这些价格是预估的制造成本,实际价格会因联发科与合作伙伴的合同条款、采购量、地区以及独家协议等因素而有所不同。相同的3nm工艺:天玑9500要比第五代骁龙8至尊版便宜50%以上!天玑9500之所以比骁龙8至尊版便宜,主要是因为它采用了ARM的CPU和GPU设计,从而节省了成本,相比之下,高通在其骁龙8...

晋A99999劳斯莱斯154.4万元起拍 车牌号不拍卖

晋A99999劳斯莱斯154.4万元起拍 车牌号不拍卖
快科技10月13日消息,日前,一辆车牌号为晋A99999的劳斯莱斯黄牌黑色轿车即将拍卖,引发围观。从阿里司法拍卖页面了解到,这辆车由山西省阳泉市中级人民法院拍卖,将于10月17日10点开拍,报名保证金15万元,起拍价154.4万元,每次加价7千,评估价193万元。截至发稿,尚未有人报名,不过已有7600人围观。拍卖介绍称,这辆劳斯莱斯幻影是2006款6.7L加长版EWB自动档,行驶里程:7.79万公里;注册登记日期:2009年2月,检验有效期至2026年2月,车辆违法情况已处...

搞定高尔夫和潜水之后 华为的手表盯上了骑行

搞定高尔夫和潜水之后 华为的手表盯上了骑行
哈?人也有输出功率?还能用手表测出来?上个月,华为趁大家不注意的时候发布了全新手表 WATCH GT 6 系列。一看这个 slogan 就把我吓住了 —— 业界首发骑拟功率。搞定高尔夫和潜水之后 华为的手表盯上了骑行恕我直言,像托尼我这样的肥宅 “ 骑行模拟功率 ” 这几个字该从哪里分开都不知道,到底是骑行模拟的功率呢,还是骑行的时候模拟功率呢?华子这回到底又整了什么新鲜玩意儿?这不得搞一个回来尝尝咸淡。Ladies and gentlemen —— 华 WATCH GT 6...

全球断层领先!中国天眼FAST发现1152颗脉冲星

全球断层领先!中国天眼FAST发现1152颗脉冲星
快科技10月13日消息,国家天文台最新发布,中国天眼FAST发现的脉冲星数量达到1152颗,而这一数量早已远超同一时期国际上其他望远镜发现脉冲星数量的总和。其中包括大量的毫秒脉冲星和脉冲星双星,丰富了脉冲星的种类和数量,对于理解脉冲星的形成和恒星演化具有重要意义。全球断层领先!中国天眼FAST发现1152颗脉冲星脉冲星是转动很快的中子星,因不断地发出电磁脉冲信号而得名。它是最致密的天体之一,有极高的密度、极强的磁场和极强的引力,被公认为是物理学和天文学的“超级明星”,也是研究...

“为什么贷款骚扰电话变少了”上热搜 网友:苹果iPhone依旧如故

“为什么贷款骚扰电话变少了”上热搜 网友:苹果iPhone依旧如故
快科技10月13日消息,国庆中秋长假后,“为什么贷款骚扰电话变少了”话题冲上热搜。有网友发现以往高频出现的“极速放款”“低息贷款”来电与广告显著减少,而苹果iPhone用户却吐槽骚扰电话“依旧如故”。据了解,贷款骚扰电话降温的核心原因,是10月1日正式落地的助贷新规。国家金融监督管理总局发布的《关于加强商业银行互联网助贷业务管理提升金融服务质效的通知》实施名单制管理,要求商业银行仅与白名单机构合作,同时划定年化利率24%的“红线”,超过该标准的业务银行不得参与。这一“收口”式...

Win 10将于10月14日起停服 微软建议用户尽快升级到Win 11

Win 10将于10月14日起停服 微软建议用户尽快升级到Win 11
快科技10月13日消息,据媒体报道,微软将于10月14日起正式终止对Windows 10系统的安全更新和技术支持,这意味着仍在使用该系统的设备将面临更高的网络安全风险。尽管已安装Windows 10的设备仍可继续运行,但微软将不再提供定期的安全补丁,部分应用程序的功能也可能逐渐受限。微软建议用户尽快升级至Windows 11系统,然而许多旧款电脑因硬件限制无法满足新系统的运行要求。因此,这部分用户面临两种选择:要么更换设备,要么通过支付30美元或使用1000点微软奖励积分注册...

中国耳机也越来越贵了 500元以上份额首次突破50%

中国耳机也越来越贵了 500元以上份额首次突破50%
快科技10月13日消息,不知你有没有发现,如今耳机的价格是越来越高了。洛图科技最新数据显示,2025年上半年中国主流电商平台500元以上耳机销额份额首次突破50%,达到56%,较去年同期扩大7个百分点,标志着中国耳机市场正式迈入中高端主导时代。中国耳机也越来越贵了 500元以上份额首次突破50%2024-2025H1中国耳机耳麦传统电商市场价格段结构这一转变背后,是头部品牌密集的技术升级与新品布局。9月以来,华为、苹果、三星等厂商集中推出定价500元以上的中高端新品:华为Fr...

OPPO Find X9全系标配7000mAh+超大电池:续航实测超36小时

OPPO Find X9全系标配7000mAh+超大电池:续航实测超36小时
快科技10月13日消息,OPPO Find X9系列将在10月16日发布,这次不光是性能和影像有所提升,续航也迎来重磅升级。Find X9全系标配7000mAh+超大电池,其中,Find X9是7025mAh电池、Find X9 Pro则是7500mAh。OPPO Find X9全系标配7000mAh+超大电池:续航实测超36小时Find系列产品负责人周意保还晒出了续航测试,在测试条件相同的情况下远超前代和iPhone 17 Pro Max的续航。Find X9视频播放总时长...

全球首款8K全景无人机 影石影翎A1支持体感飞行 4岁小孩也能玩

全球首款8K全景无人机 影石影翎A1支持体感飞行 4岁小孩也能玩
快科技10月13日消息,前不久,影石Insta360官宣了全球首款8K全景无人机——影翎A1,引发消费级无人机市场关注。而且最近这款无人机被美国《时代》杂志评选为年度最佳发明之一。影石Insta360 CEO刘靖康现在对这款即将问世的新品进行了更多爆料。全球首款8K全景无人机 影石影翎A1支持体感飞行 4岁小孩也能玩在核心性能上,影翎A1搭载双鱼眼镜头,区别于传统无人机需手动调整镜头角度,可一次性捕捉360°无死角场景。带上VR头盔,可实现类鸟360°视场沉浸式VR体验,宛如...

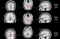
一个人能记住多少个人的脸 这个数字赌你猜不到

一个人能记住多少个人的脸 这个数字赌你猜不到
你能记住多少张脸?研究发现,人类平均能记住约 5000 张面孔(波动范围约为1000~10000),这一能力在自然界中无可比拟。而大多数动物识别同类主要依赖气味或声音,而不是脸。一些高度社会化的家畜,比如绵羊,在经过特殊训练后能记住大约 50 张羊脸,仅有人类的百分之一。除了人类以外的其他灵长类,识脸能力在动物界也属于佼佼者,但数量多在数十到上百张之间,目前仍缺乏确切的上限数据。为什么人类拥有如此出众的“认脸”能力呢?人类拥有与生俱来的“认脸系统”这是因为人脑中存在一套专门“...

西康高铁全线铺轨正式启动 全线桥隧比高达94%

西康高铁全线铺轨正式启动 全线桥隧比高达94%
        快科技10月12日消息,据媒体报道,西康高铁全线铺轨工作正式启动。随着首对500米长钢轨在西安东站至牛背梁站区间平稳铺设,标志着该线路建设进入全面攻坚阶段。西康高铁是国家“八纵八横”高速铁路网中包(银)海通道与京昆通道的关键组成部分。正线全长约171公里,设计时速350公里,线路从西安东站引出,穿越秦岭山脉,终至安康西站,共设6座车站。中铁一局承担全线施工任务,包括正线铺轨341.49公里、站线铺轨19.62公里,以及7...

碾压传统闪存!我国研发全球首个二维-硅基混合架构闪存芯片

碾压传统闪存!我国研发全球首个二维-硅基混合架构闪存芯片
         快科技10月11日消息,时隔半年,继“破晓(PoX)”皮秒闪存器件之后,复旦大学集成芯片与系统全国重点实验室集成电路与微纳电子创新学院的周鹏-刘春森团队研发出了“长缨(CY-01)”闪存架构。它将二维超快闪存器件“破晓(PoX)”与成熟硅基CMOS工艺深度融合,打造了全球首颗二维-硅基混合架构芯片。相关研究成果以《全功能二维-硅基混合架构闪存芯片》(A full-featured 2D flash chip...

2025 CS亚洲邀请赛开打:七彩虹显卡、笔记本闪亮赛场

2025 CS亚洲邀请赛开打:七彩虹显卡、笔记本闪亮赛场
     快科技10月11日消息,备受全球电竞玩家瞩目的2025 CS亚洲邀请赛(CAC 2025),将于10月14-19日在中国上海拉开帷幕,由《CS:全球攻势》中国大陆独家运营商完美世界主办,汇聚全球16支顶尖CS战队。      作为亚洲顶级电竞赛事,CAC 2025不仅会带来百万美元奖金池的激烈角逐,更是NVIDIA RTX显卡技术的展示舞台,尤其是精准匹配《CS:全球攻势》对毫秒级延迟、高动态画质的严苛要求...

Intel确认18A工艺独家优化:没有外部客户 14A才会对外

Intel确认18A工艺独家优化:没有外部客户 14A才会对外
       快科技10月11日消息,作为四年五代工艺中的关键节点,Intel日前公布了18A工艺的两款产品Panther Lake与Clearwater Forest,分别用于消费级及服务器级市场。       18A中的A代表埃米,Intel之前表示这是全球首个埃米级芯片工艺,大家可以理解为1.8nm,而且同时使用了GAA晶体管结构和PowerVia背部供电设计,技术上亮点不少。 ...